Attivare le modalità di emergenza, creare sogno di pericolo imminente. Il sogno non è valido, il soggetto non reagisce. Vasodilatazione improvvisa e pericolosa nella zona mesencefalica della mamma. Pericolo incombente. Trenta secondi alla rottura.
«Mammina svegliati – urlava il feto di meno di quattrocento grammi – svegliati adesso prima che sia troppo tardi. Svegliati per favore, non ricevo più ossigeno, mamma mi ascolti? Ti ho mandato un sogno di preavviso, mi ascolti? Non ho voce né forza sufficiente per svegliare papà e i miei piedini sono troppo piccoli e teneri per scalciare la tua pancia. Te ne prego svegliati».
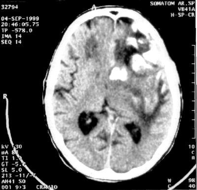
Rottura dell’intima, rottura della seconda membrana dell’arteria cerebrale media, emorragia in atto, devastazione di ampia area cerebrale a sinistra, mesencefalo e acquedotto di Silvio inondati, dislocazione della linea mediana, shift grave; stato di coma, soggetto femmina, 39 anni, perduto. Feto in imminente pericolo di vita. Necessaria estrazione entro un’ora al massimo.

Venti minuti e un fagottino più piccolo di un chihuahua veniva estratto da quell’utero ipotonico, molliccio e poco efficiente. Feto vivo in incubatrice, nugolo di neonatologi a prestargli le prime cure e nel frattempo mamma in Rianimazione.
Stato di coma areflessico, pupille midriatiche media ampiezza non reagenti, attività respiratoria spontanea assente o insufficiente, GCS 3. Paziente decerebrata. Imminente pericolo di vita.
E’ così che giunse a noi quella donna di trentanove anni, prima gravidanza, matrimonio recente, figlio desiderato. A quattro chilometri di distanza una mamma in fin di vita, forse col cervello pensante già morto e un fetino, anch’esso in pericolo di vita si parlano, con la forza della telepatia: «Che succede mammina? Ho freddo dentro questa capsula di plastica e metallo. Dov’è il tuo accogliente pancino, soffice e ovattato? Qui avverto dei campanelli che suonano delle note stridule e stonate. Vedo delle luci rosse, ma non è il tranquillizzante e tenero rosso del tuo sangue, questo è un rosso che abbaglia la vista, anche se i miei occhietti sono ancora chiusi per metà. Dove sei? Perché sento la tua voce così lontana?».

Poi han parlato di te. Hanno detto che sei troppo piccolo per sopravvivere e che perciò tornerai nella casa del Padre, da dove eri sceso su una scala d’oro sei mesi fa. Voluto e desiderato come il gioiello più bello.
Ma non sono triste piccolo mio e tu non tremare di freddo e paura, ritroverai la tua mammina lassù, dove vanno tutte le mamme. Ho un solo cruccio; avrei voluto che tu fossi stato più grande per sopravvivere oppure che fossi già nato, col cuore malato, per darti il mio e continuare così tu a vivere e aiutare papà a portarmi un fiore su un marmo freddo. Ma forse è meglio così piccolo mio».
«Ti ascolto mammina mia. Se annuso sento perfino il tuo profumo».

Ecco, arrivano, mi portano su, in sala espianto. Com’è brutta questa parola. Ma tu non aver paura, bimbo mio, la tua mamma non sentirà dolore e alla fine, anche se in spirito, il mio cuore sarà tuo, per l’eternità.
Iniziano, sento freddo, hanno iniziato riempirmi la pancia di ghiaccio e anche le flebo sono gelate.
«Dottori, non pensate a me, coprite il mio bambino che ha freddo, pesa solo quattrocento grammi, non fatelo morire, se potete. Ma se non ce la facesse, copritelo di più.
Ciao tesoro, ci vediamo più tardi».
La tua mamma.
Cronaca vera di una morte cerebrale e di un espianto d’organi. Nel mio Ospedale. Novembre 2010.
2 commenti:
io ho già pianto, adesso tocca a voi.
Un racconto che non ha bisogno di commenti... bravissimo Salvo!!
Tanto intenso quanto triste... difficle trovare le parole giuste.
Posta un commento